INNOVATION AND EXPERTISE IN TOTAL JOINT REPLACEMENT SURGERY

Vail & Summit County’s Hip & Knee Replacement Surgeon

Dr. Nathan Cafferky of The Steadman Clinic

(970) 476-1100

Meet Nathan Cafferky, MD FAAOS

  • Surgeon at The Steadman Clinic

  • Board Certified and Fellowship Trained

  • Adult Reconstruction and Trauma

    • Hip, Knee, Total Joint Replacement, Joint Replacement Revisions, Fracture Care and Trauma.

  • US Ski Team Physician

  • Team Summit Colorado Physician

Medical advancements have led to vast improvements in total joints surgery and patient outcomes. We are proud to be using cutting-edge technologies in total joint replacements to keep you doing the activities you love.”

Make An Appointment

Moving you forward with innovative orthopaedic care.

 
 
AdobeStock_112046589+%281%29.jpg

Knee Replacements

Learn more
AdobeStock_222959050 (1).jpeg

Hip Replacements

Learn more
ROSA-Knee-System-with-Cut-Guide-1024x683.jpg

Innovative Technology

Learn more
 
 
 
ortho.jpg
 
 
 
 
AO+Trauma+Badge.jpg

Highly Trained. Highly Experienced. Highly Rated. Meet Team Cafferky.

Joint replacement is a journey that requires a dedicated, innovative, experienced team. Team Cafferky is known for their care, compassion, and expertise.

VVSC_313-small_reg.jpg

Keeping You Active at Vail & Summit County’s Trusted Orthopaedic Clinic

Dr. Cafferky practices at The Steadman Clinic in Vail, Colorado and conducts surgery at the state-of-the-art facilities in Frisco, Vail, and Edwards, Colorado.

AdobeStock_107479946.jpg

Trusted by The Pros of The U.S. Ski Team.

As a Team Physician for the U.S. Alpine Ski Team, Dr. Cafferky is trusted by the best athletes in the world.

Highly Rated By Patients.

Dr. Cafferky is highly rated in real patient surveys.

 

“Dr. Cafferky was attentive and awesome. Recovery was quick, I was shocked there was no pain to stand or walk. I would recommend Dr. Cafferky for all/any needs.”

star.png

-Joy (HealthGrades)

 
 

“Dr Cafferky did a great job on my hip replacement. Very caring, great bedside manner. His team was also great to work with. I’m back to enjoying life, and have no pain.”

star.png

-Verified Patient (Vitals)

 
 

“Three months ago, I underwent a total knee replacement. My experience with Dr. Nathan Cafferky and PA Daniel Wood and rest of the Team was awesome… a big thank you”.

star.png

-Eugene (Google)

 
 

 “From the first consultation, surgery and post-op appointments the caring, compassion and professionalism of Dr. Cafferky and the entire staff was exceptional.”

Read Testimonials

Innovative Total Joints in the Mountains of Colorado.

 

Outpatient Total Joints

The benefits of moving TJR surgeries to the outpatient setting are numerous. Patients are normally discharged in three to four hours after the surgery and recover in the comfort of their own homes without unnecessary services and surprise bills.

Anterior Total Hip

Total recovery time for an anterior approach is usually faster at about half of the time it takes with a traditional approach.

Robotic Surgery

Supporting surgeons in performing Total Knee Arthroplasty (TKA) with features to assist with the bone resections, as well as assessing the state of the soft tissues to facilitate implant positioning intra-operatively.

Contact Dr. Cafferky to Learn More



AdobeStock_112046589+%281%29.jpg

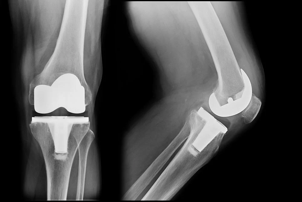
What is a Knee Replacement?

Knee replacements are typically recommended for patients with arthritis or other knee disease and injuries. When these conditions have not responded to nonsurgical treatments - such as steroid injections and over-the-counter anti-inflammatory medications - knee implants are designed to relieve the pain caused by these issues. A total knee replacement lasts an average of 20 years.

AdobeStock_222959050 (1).jpeg

What is a Hip Replacement?

When severe hip pain begins to impact your daily life, a total hip replacement may be right for you. The total hip replacement procedure involved replacing the diseased bone and cartilage with a metal ball and plastic cup. A hip replacement can help patients with arthritis, bone death, fractures, and other conditions reclaim their lives.

Partnering with the best in total joint replacement technology.

 
 
 

Dr. Cafferky’s Orthopaedic Blog & News

 

Make an Appointment with Dr. Nathan Cafferky

 

You can make an appointment online to see Team Cafferky. Just click here to contact us.

 
Make An Appointment